04 janvier 2021:
Yugi bon pied bon oeil pour attaquer 2021!
23 novembre: Vous trouverez presque la même sur la page de Jaïa…
31 mars 2018: les dernières nouvelles de Yugi sur la page de Jaïa (cliquez ici)
13 mars: Lorsqu’on envisage un peu, même sans se l’avouer, d’adopter un deuxième chien, pourquoi ne pas craquer sur celui que l’on prend en FA, surtout s’il se révèle absolument adorable et compatible avec son mode de vie? Yugi s’entend avec le chat Babe, avec la petite fille Lili qui l’adore aussi et avec Jaïa qui l’adore ou pas en fonction de l’humeur du moment.
Alors c’est décidé, le beau Yugi est adopté!
Un seul point noir: une mue IMPRESSIONNANTE! Mais Marianne et JB la voient comme un entrainement pour la prochaine qui sera bien pis puisque Yugi fera une mue de chow castré. Aïe!
Outre les balades qu’il adore, Yugi apprécie beaucoup le confort d’un intérieur douillet, et il ne détruit rien, trop content de somnoler dans une douce chaleur sur un canapé moelleux. …. »Il suffisait de presque rien, peut être de quelques câlins, pour que Yugi dise « je t’aime »
18 février: Yugi rentre de vacances, un mois passé en maison avec terrain, chienne ….et chats. Courir et jouer en liberté n’ont été que du bonheur pour lui mais a aussi permis de découvrir que Yugi déteste les chats lorsqu’ils sont hors de la maison. Le voilà de retour en appartement….où il ne dit rien au chat!
« Yugi est un peu perdu on le sent bien … mais bon, il fait confiance à JB.
En balade il ne court pas il avance à son rythme, est heureux de sentir partout. Il écoute très bien JB et aucun soucis avec les chiens que l’on a croisés.
À l’intérieur toujours aucun problème, aucune casse rien du tout. La semaine prochaine il va retrouver Lilly (la petite fille, ndlr). Ça va être fort en émotion ! On a hâte !
Je trouve qu’il a déjà mis un joli poil »
Nous aussi!

5 janvier 2017: C’est le rappel de vaccins!
Samedi 17 décembre: Mail de Marianne, « Yugi va super bien. Il court et saute … on essaye de l’ empêcher un peu mais dur dur car il a l’air tellement heureux ! Les cachets l’ont complètement changé. Du chien pépère qui bouge pas et grogne souvent on est passé à un toutou plein de vie qui grogne bien moins. Tout va bien! »
Vendredi 16 décembre, 9h51: SMS de Marianne « J‘ai eu la vétérinaire qui à opéré au téléphone (elle est vraiment super!). Donc elle nous a dit que Yugi avais tellement pas de muscle qu’il fallait pour l’instant pas trop le promener, juste le sortir puis y aller progressivement dans de petites balades. Après, voir dans 15 jours comment il va avec ses cachets mais s’ il a toujours une gêne pour s’asseoir, ou une tendance à grogner, pourquoi ne pas allez voir un(e)ostéopathe … le plus gros soucis de Yugi aujourd’hui c’est le manque de muscles qui ne le fait forcer que sur les os et donc aggrave sa dysplasie. Sinon Yugi va bien, il a super bien dormi et son œil n’est pas vilain même si ça reste impressionnant. Il est fatigué mais c’est normal. Et il mange bien, très bien même, lol ».
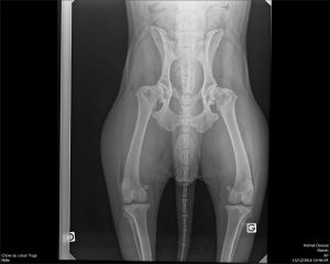
Jeudi 15 décembre: C’est le jour de la castration pour Yugi. Comme à chaque fois que quelque chose nous semble poser problème, nous profitons de l’anesthésie pour faire examiner le chien sous toutes les coutures; concernant Yugi nous avons constaté un œil qui pleure beaucoup et une forte sensibilité de l’arrière-train, tant lorsqu’il s’assied que lorsqu’on tente de le brosser. Bingo!
- Entropion de l’oeil droit avec ulcération de la cornée, Yugi a perdu environ 60% de son champs de vision. L’autre œil va bien.
- Dysplasie bilatérale des hanches; la vétérinaire ne conseille pas d’opérer mais d’aider Yugi à maintenir ce qu’il reste de son capital osseux avec des chondro-protecteurs et d’atténuer ses douleurs avec ponctuellement des anti-inflammatoires.
- La castration n’a pas posé problème.
- Les dents et les oreilles sont saines.
- La biochimie sanguine est bonne SKMBT_C22016121518060
- Les vaccins ont été faits en Belgique, ne restera que le rappel dans 3 semaines:
Sans compter les frais « d’enlèvement à domicile » que prennent en charge nos FA (1084 km + une nuit d’hôtel) et avant le rappel des vaccins, nous sommes déjà à 376, 57 e de frais vétérinaires pour Yugi.
Mardi 13 décembre:
10h: L’ ex propriétaire de Yugi souhaite voir rectifier quelques erreurs matérielles sur la page présentant le chien:
- Yugi ne vivait pas sur un balcon mais sur une terrasse de 80 m2 et non de 50 m2. (Rectification faite ndlr)
- Cette terrasse dépend d’une maison et non d’un appartement. (Rectification faite ndlr) Il se dit aussi très peiné, ainsi que son épouse, car à la lecture de l’article on pourrait penser qu’ils n’aimaient pas leur chien. Or, c’est totalement faux et il tient à souligner les points suivants:
- Avant ces deux dernières années, Yugi bénéficiait de promenades régulières et si cela a changé c’est bien indépendant de leur volonté: le bébé est arrivé, madame a retrouvé du travail….et malgré tout ce changement d’emploi du temps Yugi était encore sorti quelquefois.
- Contrairement à ce qui a été écrit, ils connaissent bien leur chien et s’ils ne l’ont pas emmené chez le vétérinaire trouvé par Simone, c’est qu’il était situé à 25 km de chez eux et que, dès lors qu’ils ont eu signé le contrat de cession, ils avaient pensé que tout était pris en charge par l’association (transport du chien pour ses vaccins, sa stérilisation) et pas seulement les frais vétérinaires et l’enlèvement final de l’animal au domicile.
- Yugi n’a jamais manqué de nourriture ni d’eau (nous n’avions jamais prétendu le contraire, ndlr).
- Lorsqu’il gelait très fort Yugi était rentré.
- Les photos de Yugi sur la terrasse, prises par Simone (avec autorisation) ne rendent pas justice aux soins pris pour Yugi et il nous prie de les enlever. (Photos ôtées, ndlr)
- C’est bien parce qu’ils étaient conscients que ces conditions de vie n’étaient pas optimales qu’ils ont pris la décision de se séparer de Yugi. Et c’est aussi parce qu’ils aiment leur chien et par souci de son bien être ils l’ont laissé à Chôc! et qu’ils ne l’ont pas abandonné lâchement ou vendu à n’importe qui pour quelques dizaines d’euros comme l’auraient fait certains, sans se soucier de ses futures conditions de vie.
Nous ne pouvons que souscrire à ce point de vue et d’ores et déjà, la FA de Yugi prend le plus grand soin de lui.
20h22: Mail de Marianne: « Quelques nouvelles qui sont très bonnes.
Yugi adore la brosse ! On à investi (50 e, merci! ndlr) dans des produits démêlants et sans rinçage et c’est miraculeux déjà ! il sent bon et sous la tête plus aucun nœud! Sa queue à pris un peu de volume en démêlant tout ça. Et un toutou bien qui se laisse faire c est le top.

En promenade il est cool, remue la queue et veut sortir tout le temps … il tire pas plus que ça et écoute super bien !
Il comprend « assis » et « donne la patte » … j’en reviens pas tellement il progresse vite et à quel point il est intelligent !!!
Il s’entend avec tous les chiens, les mâles compris. Et il adore les enfants !!! C est dingue ça ! Bref le chien parfait … (oui ça sera très dur de le laisser partir j’avoue !)




Voila les excellentes nouvelles d’un toutou qui connaît enfin une vie normale. Plus de pipi dedans pour l’instant … et on a remis l’eau à volonté et il ne se gave plus d’eau ! C est super !
Il mange bien. Cela me fait peine de l emmener jeudi chez le vétérinaire (Pour la castration, ndlr) mais cela sera fait au moins ! »
10 décembre: Après un long voyage commencé ce matin à 7h, Yugi est désormais dans sa FA!
A priori, ce chow qui ne connaissait pas l’intérieur pour cause de destruction est étonnant de tranquillité.
Durant la première partie du voyage, de Charleroi à Sedan, il a beaucoup regardé en arrière. A partir de Sedan, Honor a partagé la voiture et, peut être rassuré par la présence d’un autre chien, Yugi a dormi jusqu’au Pays des Langues Bleues.
Après 30 mn de détente, Yugi est tranquillement remonté seul en voiture et Sophie l’a conduit au sud de l’Yonne où Sandrine à pris le relais. Yugi a toujours été aussi tranquille.
A Chalon c’est Arnaud et Nathalie qui ont continué le transport, puis enfin Jean Bernard. Comme nous le disions: rude journée pour Yugi qui n’avait pas quitté sa terrasse depuis plusieurs années!
Et à l’arrivée chez Jean Bernard et Marianne: surprise! une chowchotte l’attendait! Jaïa!
La balade en commun a été concluante et les deux chows sont plutôt contents l’un de l’autre.
Avec le chat, Baybe, indifférence totale. Pour l’instant. Yugi révélera peut être un autre aspect de sa personnalité lorsque l’émotion de la journée sera passée……
Et niveau propreté? pour le moment un pipi dans l’entrée.
A suivre…..
Yugi est né le 9 janvier 2011 et il vit en Belgique.
Il est adoptable ailleurs qu’en Belgique puisqu’il a été confié aux bons soins de notre association.
Que sait-on de Yugi?
Acheté chiot en animalerie, sa famille ne sait pas trop nous parler de lui….. Yugi est malpropre et de ce fait n’a pas le droit de rentrer dans l’ habitation; lorsqu’il y est entré, encore jeune chien, il a fait quelques dégâts, mâchonné quelques meubles, depuis Yugi vit sur la terrasse de 80 m2.
Entente chats? inconnue, la famille n’a pas de chats.
Entente chien? il ne s’entend pas avec le mâle carlin de la maison, acheté en même temps que lui. Peut être parce que le carlin a le droit de rentrer et lui pas? Cette mésentente ne présage pas de grand chose…..
Entente enfant? on l’ignore. Un bébé vient de naître qui n’a pas été présenté à Yugi. Des enfants, il semble que Yugi n’en ait jamais rencontré.
Devant autant d’inconnues, nous avons demandé à une de nos bénévoles belges, Simone, de passer voir Yugi.
Elle a pris quelques photos de lui, l’a promené.
Simone: « Honnêtement, j’ai trouvé que c’est un chien à la prise de contact très facile. Passé la première interrogation, il est venu vers moi, a remué la queue, nous avons pu aller promener très vite, je l’ai trouvé bien agréable. Je ne suis pas convaincue que mon propre chow chow aurait été aussi facile avec une inconnue…. »
Cette rencontre nous a beaucoup rassurés sur Yugi, le principal pour faciliter l’adoption étant la sociabilité du chien vis à vis des humains.
Car pour ce qui regarde la propreté, comme Fox, comme Jaïa qui n’étaient jamais promenés, Yugi comprendra très vite que les arbres et la pelouse sont plus agréables pour se soulager que le carrelage. Marquer est un instinct chez le chien et la propreté est innée chez le chow.
Par précaution nous souhaitons éviter des adoptants qui posséderaient un chien mâle ou des chats.
Vis à vis des enfants, nous émettons les réserves d’usage:
-Les enfants doivent être éduqués à ne pas embêter le chien et à respecter son lieu de repos.
-Les parents doivent être suffisamment responsables pour ne pas laisser un enfant seul avec le chien et poser les limites que l’enfant ne doit pas franchir.
Une maison avec du terrain seraient un plus pour ce chow chow qui n’a jamais connu la pelouse mais une adoption en appartement est possible, 4 promenades par jours rendront inévitablement le sourire à Yugi.
Si vous souhaitez adopter ce beau chow chow qui n’a pas encore 6 ans, appelez Laure au 0666876153















